Ссылки для упрощенного доступа

Профилактика жизни


Человеческий мозг
Человеческий мозг

Борьба с инсультом требует построения масштабной системы, включающей образовательние населения и современные терапию и реабилитацию

Ежегодно в мире происходит 17 миллионов инсультов, из которых примерно треть заканчивается смертью, другими словами, каждую секунду кто-то на Земле переживает инсульт, а каждые 6 секунд – умирает. София Зигмунд выяснила, что лучшая система предупреждения и лечения инсультов построена в Финляндии, разобралась в современных способах терапии и реабилитации и подсчитала потенциальную экономическую выгоду внедрения новых методов.

Сегодня инсульты занимают третье место среди причин смертности после сердечно-сосудистых и онкологических заболеваний. По сведениям British Society of Rehabilitation Medicine, около 550 тысяч жителей США ежегодно переносят инсульт (это составляет 174 случая на 100 тысяч жителей), примерно для трети из которых это заканчивается летальным исходом. В Европе показатели еще выше – от инсульта ежегодно страдают около 1,8 миллиона человек ежегодно, то есть 220 инсультов на 100 тысяч жителей. В России ситуация еще более тревожная: ежегодно отмечается около миллиона инсультов, что составляет 700 случаев на каждые 100 тысяч россиян. При этом из ста россиян от 25 до 64 лет, у кого был диагностирован инсульт, 30 умирают в течение месяца, а каждый второй – в течение года, а из тех, кто выжил, каждый пятый теряет способность передвигаться самостоятельно. Борьба с инсультом требует систематического подхода, и здесь бесценным является опыт ближайшего соседа России – Финляндии, где уже больше 10 лет разрабатывается масштабная противоинсультная программа, позволившая за это время не только снизить смертность от инсульта, но и значительно ускорить реабилитацию пациентов.

Профилактика: опыт Финляндии

Инсульт – острое нарушение мозгового кровообращения, которое приводит к повреждению тканей мозга и может стать причиной смерти или сохраняться долгое время. Инсульт может быть ишемическим или геморрагическим. В первом случае инсульт происходит в случае закупорки сосуда тромбом, в результате чего наступает нарушение мозгового кровообращения и последующее омертвение определенного участка мозга из-за нехватки кислорода. При этом каждую минуту погибает около 2 миллионов нейронов, поэтому скорость оказания первой помощи – ключевой фактор. Геморрагический инсульт чаще приводит к смертельному исходу, но встречается в пять раз реже, он происходит в следствие разрыва артерий из-за избыточного притока крови.

Финский опыт показывает, как важно наладить все этапы процесса, от просветительских кампаний, направленных на повышение грамотности населения, до лечения и реабилитации. Граждан обучают замечать первые тревожные симптомы и признаки инсульта и немедленно вызывать скорую медицинскую помощь. Врачи скорой помощи принимают пациента и сразу же оповещают больницу, например, университетский госпиталь в Хельсинки, так что персонал уже подготовлен к приему конкретного пациента и время от “двери” до “иглы” – собственно проведения терапии – сокращено до минимума. Здесь важна каждая мелочь, например, первое диагностическое мероприятие при подозрении на инсульт, компьютерную томографию, делают в университетском госпитале Хельсинки на первом этаже больницы сразу по прибытии пациента. Тем временем у медсестер уже готово все необходимое для анализов крови, ЭКГ, радиограммы грудной клетки и других необходимых исследований. После того как с помощью компьютерной томографии установлен диагноз, ишемический инсульт, в отделении нейрореанимации немедленно проводится тромболитическая терапия (tPA). Начинать такую терапию нужно как можно раньше, не позже чем через три часа после возникновения острых симптомов.

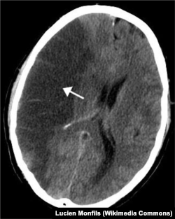
Изображение поврежденного участка мозга, полученное методом компьютерной томографии
Изображение поврежденного участка мозга, полученное методом компьютерной томографии

Ян Питха из института клинической и экспериментальной медицины в Праге (IKEM) считает, что финская методика хорошо работает именно благодаря просветительской кампании, на которую государство потратило миллионы евро. На специальных образовательных семинарах граждан Финляндии учат обращать внимание на предупреждающие сигналы: легкое подергивание уголка рта или внезапное ухудшение зрения в одном или обоих глазах. Признаком инсульта может быть внезапное онемение лица, руки или ноги на одной стороне тела, потеря способности говорить на какое-то время или сложности в понимании собеседника, внезапное головокружение, потеря равновесия или падение, трудности при ходьбе, тошнота, внезапная острая головная боль. В числе признаков инсульта отмечается сонливость или возбужденность, чувство оглушенности, иногда кратковременная потеря сознания. Знание этих факторов позволит спасти жизнь оказавшемуся рядом прохожему или пассажиру автобуса и вовремя заметить приближение инсульта у себя. "Иногда инсульт может наступить через несколько часов после предупреждающих сигналов, а иногда и через несколько дней (месяцев)", – объясняет Питха. "Но лучше позвонить в скорую через пять минут после появления тревожных симптомов и назвать точное время их появления", – советует Питха.

Многие думают, что риск инсульта возрастает после 60 лет, но на самом деле 25 процентов инсультов случаются с теми, кто моложе

Эффективная антиинсультная социальная кампания должна быть направлена не только на понимание симптомов инсульта, но и на его профилактику. Здесь главная рекомендация врачей довольно стандартна: вести здоровый образ жизни, причем начать делать это стоит как можно раньше. “Многие думают, что риск инсульта возрастает после 60 лет, но на самом деле 25 процентов инсультов случаются с теми, кто моложе”, – отмечает доктор Ян Пихта. Питха рекомендует следить за артериальным давлением (оно не должно быть выше 140/90 мм рт.ст.), сократить потребление соли (не более 5 грамм в день), заменить в рационе копченые и готовые продукты на овощи. Глава клиники антивозрастной медицины А2С в Праге, врач-эндокринолог Моника Голкова также рекомендует придерживаться здоровой диеты, ежедневно заниматься физическим упражнениями, побольше расслабляться, следить за собственным весом (индекс массы тела выше 25 – повод серьезно задуматься), сократить потребление алкоголя и бросить курить.

Диагностика

По мнению WSO, один из основных факторов, приводящих к росту числа инсультов в мире, является проблема его ранней диагностики. Определить генетическую предрасположенность к инсульту ученым пока не удалось, хотя исследования в этом направлении ведутся, например, группой Стивеа Уильямса в кардиоваскулярном центре университета Вирджинии. Исследователи связали риск инсульта, кардиоваскулярных заболеваний и деменции с повышенным уровнем гомоцистеина в крови и выявили пять потенциальных генетических маркеров инсульта.

Если эти данные подтвердятся, пациенты с генетической предрасположенностью к инсульту смогут снизить риск кровоизлияния, следуя специальной диете, снижающей уровень гомоцистеина в крови. Впрочем, пока что клинические попытки снизить уровень гомоцистеина терапевтическим путем не помогли предотвратить заболевание. Ян Питха призывает не переоценивать значение генетического анализа, по его мнению, подобные исследования слишком приблизительны и не учитывают, каким образом гены взаимодействуют между собой.

На сегодняшний день клиническая диагностика инсульта производится с помощью компьютерной томографии (КТ), которая определяет, произошло ли кровоизлияние в мозг. Стефен Меарис из университета Мангейма считает, что перспективным способом диагностики является магнитно-резонансная томография (МРТ) – более чувствительный по сравнению с КТ метод, требующий, однако, больше времени для проведения. МРТ позволяет получить более контрастное изображение с более четкой различимостью белого и серого вещества, лучшим качеством изображения базальных, стволовых, корковых структур по сравнению с КТ. Впрочем, МРТ и КТ могут применяться как взаимодополняющие методы диагностики.

Лечение

После того как пациент попал в больницу, стандартное лечение при инсульте сводится к тому, чтобы стабилизировать состояние: это реанимационные мероприятия (снижение артериального давления, восстановление оксигенации и гемодинамики). Если пациента удалось спасти, в дальнейшем ему предстоит длительная многомесячная реабилитация и, скорее всего, инвалидность.

В середине 90-х в США появился инновационный метод тромболизиса (tPA), который впервые был апробирован в России на базе Первой градской больницы в 2007 году. Пока что в России tPA – это считаные случаи терапии острого инсульта. Внедрение этого метода требует коренной перестройки всей системы оказания первой помощи, начиная с образовательной кампании для населения и кончая переобучением персонала больниц. Далеко не во всех крупных российских больницах в принципе есть возможность пользоваться томографом несколько раз в неделю, не говоря уже о круглосуточной доступности компьютерной томографии.

Срез мозга человека, умершего от инсульта
Срез мозга человека, умершего от инсульта

А между тем, пожалуй, единственный на сегодняшний день эффективный метод лечения пациентов, перенесших острый ишемический инсульт, который и лежит в основе выстроенной в Финляндии системы, – именно тромболитическая терапия tPA, в ходе которой восстанавливается кровообращение в поврежденной зоне мозга. Закупорка сосуда тромбом приводит к нарушению кровообращения и патологическим изменениям, но это не значит, что все клетки в очаге инсульта погибают. Терапия как раз направлена на восстановление их функции, и ее результаты становятся заметны очень быстро – буквально через несколько часов пациенты начинают лучше себя чувствовать, у них налаживаются двигательные функции. Для успеха тромболитической терапии внутривенное введение препарата должно быть начато как можно раньше. В Финляндии тромболитическую терапию (раннее применение tPA – тканевого активатора плазминогена) проводят спустя 20 минут после того, как у пациента появились первые симптомы, в то время как по миру это занимает, в среднем, 60-80 минут.

На сегодняшний день tPA – практически безальтернативный эффективный метод лечения острого инсульта, однако в процессе становления находятся и другие инновационные методики. Ранее было принято считать, что затронутые ишемией участки мозга гибнут безвозвратно. Однако современные исследования показывают, что это не так. Зоал Какаия (Zoal Kakaia) из университета Lund (Швеция) впервые продемонстрировал, что особые клетки мозга, астроциты, могут начать процесс, который приводит к появлению новых нервных клеток после инсульта. Другими словами, мозг способен к адаптивной перестройке на клеточном уровне.

Один из недостатков тромболитической терапии tPA – побочные эффекты, в числе которых отек и воспаление тканей мозга. Избежать этого может помочь новый метод, который проходит сейчас клинические испытания, – гипотермия, то есть постепенное (до 33-34 градусов в течение 2 часов) охлаждение всего тела пациента. Ученые Эрлангенского университета (Германия) установили, что умеренная гипотермия эффективно снижает побочные эффекты при тромболитической терапии tPA, предварительные клинические испытания показали перспективность метода. Впрочем, пока что ранняя срочная гипотермия недостаточно исследована: ее применение из-за ослабления иммунитета может привести к развитию вирусных инфекций, а также к сердечной аритмии. Вероятно, гипотермия должна быть дополнена фармакологическими средствами, например, иммуномодуляторами нового типа, которые помогут организму справиться с охлаждением и предупредят вирусные инфекции.

Реабилитация

Подходы к реабилитации после инсульта за последнее десятилетие тоже изменились. Если раньше врачи прямо предупреждали пациентов с послеинсультными нарушениями речи, что эти дефекты необратимы, то теперь появилась надежда почти полностью восстановить функции мозга. Над этим работает, например, команда Даниелы Вашкебовой в ABBIA Clinic, Брно, в которую входят логопед, психиатр, психолог, физиотерапевт. Методика ЭЭГ-биофидбека, используемая в ABBIA Clinic, восстанавливает речь при афазии (одно из распространенных нарушений речи после инсульта), регулирует внимание. Обычно для достижения и закрепления прогресса необходимо как минимум 30 занятий длительностью по одному часу.

В финских госпиталях и реабилитационных центрах рекомендована музыкотерапия. Исследования Терра Сааркамо, проведенные на базе университетского госпиталя в Хельсинки, показали, что прослушивание музыки ускоряет восстановление когнитивных функций после инсульта, регулирует внимание, улучшает память, возвращает моторные функции, эмоциональный процессинг. Финские учение объясняют это тем, что воздействие музыки выравнивает эмоциональный фон пациентов, переживших инсульт, и приводит к позитивной стабилизации их неврологического состояния.

Экономическая выгода

По данным американского National Institute of Neurological Disorders and Stroke (NINDS), несмотря на высокую цену препарата tPA и затраты в ходе терапии, его применение значительно сокращает продолжительность пребывания пациента с инсультом в стационаре (в среднем до 11 дней) и затраты на последующую реабилитацию. NINDS приводит любопытную статистику: на тысячу пациентов, прошедших терапию tPA, затраты увеличились на 1,7 миллиона долларов. Однако расходы на реабилитацию и уход на дому уменьшились на 6,2 миллиона долларов. Таким образом, экономический эффект от применения тромболитической терапии на тысячу пролеченных пациентов составляет 4,5 миллиона долларов. Как подсчитал профессор Маркку Касте из университетского госпиталя в Хельсинки, тромболитическая терапия острого инсульта ежегодно обходится Финляндии в 11,3 миллиона евро. Если же посмотреть на расходы социальной поддержки инвалидов после инсульта, то они составляют 14,4 миллиона. Таким образом, Марку Касте делает вывод, что применение тромболитической терапии экономит около 3,1 миллиона евро государственных средств.

По данным ВОЗ, сумма затрат на одного пациента, перенесшего инсульт – 60 тысяч долларов

По данным Всемирной организации здравоохранения, сумма затрат на одного пациента, перенесшего инсульт, – 60 тысяч долларов: причем на лечение идет лишь 25 процентов от этой суммы, а остальные 75 процентов – это те средства, которые компенсируют временную нетрудоспособность пациента или его пожизненную инвалидность. Даже если массовое внедрение новых методов, подобных тем, что приняты в Финляндии, потребует капительной перестройки инфраструктуры, в конечном итоге это позволит любой национальной системе здравоохранения экономить значительные средства. Сегодня, на фоне продолжающегося старения населения в развитых странах, этот вопрос становится особенно актуальным: по оценке European Stroke Network (ESN), к 2020 году в связи со старением населения инсульт составит 6,2 процента от всех тяжелых заболеваний. Остается напомнить, что инсульты в России случаются более чем в три раза чаще, чем в ЕС.

XS
SM
MD
LG