Британские ученые установили, что разные колонии шимпанзе имеют отчетливые культурные различия. Оказалось, что культурные различия обусловлены не генетически, а приобретенными в результате обучения навыками. Ученые утверждают, что человек не является единственным живущим на Земле видом, у которого есть культурное разнообразие.
Ученые обнаружили различие между вирусами птичьего гриппа, заражающими птиц и людей. Способность вируса инфицировать людей зависит от того, насколько он может связаться с конкретной формой рецептора на поверхности клеток дыхательных путей человека. Открытие может помочь в разработке вакцины против возможной пандемии птичьего гриппа.
Американские ученые пришли к выводу, что взрослые стволовые клетки мозга являются узкоспециализированными и не могут превращаться в любые клетки мозга. Стволовые клетки головного мозга не могут заменить поврежденные клетки спинного мозга. Это значит что использование стволовых клеток при лечении имеет серьезные ограничения.
Японские ученые пришли к выводу, что шимпанзе имеют фотографическую память, которая превосходит память человека. В результате эксперимента на запоминание расположения цифр на экране монитора, молодые шимпанзе превзошли людей, участвовавших в эксперименте. Ученые предполагают, что фотографическая память человека вытесняется языковой.
При критической интенсивности солнечного излучения растение может преобразовать излучение в тепло. Британские ученые выяснили, как работает механизм защиты листьев от избытка излучения. Оказалось, что специальные молекулы могут в критической ситуации почти мгновенно изменять форму и преобразовывать световую энергию в тепловую.
Ученым удалось показать, что процесс формирования ДНК из первичных молекул очень похож на формирование жидких кристаллов. ДНК первоначально прошли жидко-кристаллическую фазу развития. Если это действительно так, это и есть тот недостающий момент в процессе зарождении жизни на Земле, который пока не удавалось отыскать.
В возрасте шести месяцев большинство младенцев только учатся сидеть, но, согласно новому исследованию американских ученых, они уже могут оценивать поведение окружающих. Младенец способен оценить степень угрозы и определить, кто является вероятным другом или врагом. Эти навыки человек приобретает в самые первые месяцы жизни.
Энтомологи получили грибки смертоносные для малярийных комаров, но в отличие от химических пестицидов не отравляющие окружающую среду. Грибки выращивают прямо на внешней поверхности скорпионов. При этом грибок «пропитывается» эффективным токсином, который вырабатывает скорпион.
Американские исследователи создали молекулы, которые могут передать раковой клетке сигнал, провоцирующий ее самоубийство. Ученые считают, что лекарственные средства, которые можно разработать на основе этого открытия, будут более направленными и безопасными, чем химиотерапия.
Сербские археологи при раскопках в районе современного города Плочник обнаружили 60 различных фигурок, среди которых не только изображения богов, но и произведения искусства. По статуэткам, изображающим женские фигуры, можно судить о доисторической моде, которая оказалось очень похожей на современную.
Человек принадлежит к группе приматов. Но какой вид является самым близким родственником приматов до сих пор было неясно. Новые молекулярные и генетические данные показали, что представители отряда шерстокрылов - «летающие лемуры» - являются самыми близкими ныне живущими родственниками приматов.
Британские ученые обнаружили белок, помогающий тритонам отращивать утраченные конечности. Этот белок может послужить ориентиром для будущих исследований в области регенеративной медицины человека.
Немецкие астрофизики построили компьютерную модель рождения звездных скоплений. Звезды и звездные скопления формируются при сжатии облака межзвездного газа. Согласно модели, во Вселенной на ранних стадиях существовало огромное количество небольших скоплений, чьи следы еще предстоит найти.
Ученые пришли к выводу, что листья на деревьях осенью краснеют, потому что красный пигмент помогает дереву запасти на зиму питательные вещества, в первую очередь азот. Если почва бедна азотом – деревья краснеют интенсивнее. Кроме того, красный цвет служит своего рода солнцезащитным экраном, позволяющим листьям дольше остаться на деревьях.
Тайна скоропостижной смерти Тутанхамона, юного фараона, который правил Египтом более 3000 лет назад, возможно, будет окончательно решена учеными, которые считают, что он упал с колесницы во время охоты, а не был убит в результате заговора.
Проведено исследование минерального состава астероида Апофис. Астероид пройдет в 2029 году на расстоянии 35 тысяч километров от Земли. Столкновение астероида с Землей при его возвращении в 2036 году маловероятно, но его состав необходимо выяснить, чтобы отклонить его от Земли, если опасность станет реальной.
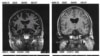
Стареющее человечество сталкивается с трудной проблемой. Человек, сохранивший здоровье до 70-80 лет, теряет память и впадает в слабоумие – это болезнь Альцгеймера. Будущее развитие болезни необходимо предсказать, чтобы успешно с ней бороться. Ученые получили первые результаты, позволяющие надеяться на возможность ранней диагностики.
В 1918 году эпидемия гриппа, известного под названием «испанка», стала самой смертоносной в истории человечества. От «испанки» умерло по разным оценкам от 40 до 100 миллионов человек. Ученые обнаружили белок, который позволяет вирусу гриппа вызывать воспаление легких. Именно от воспаления легких и умерли многие заболевшие «испанкой».
Пятнистость птичьих яиц может быть индикатором повышенного содержания ДДТ в экосистеме. Это может помочь контролировать уровень опаснейшего инсектицида. Использование ДДТ было запрещено еще 1970-ые годы, но сегодня ВОЗ рекомендовала использовать ДДТ для борьбы с малярийным комаром в тех местах, где малярия имеет характер эпидемии.
Долгое время аппендикс считался бесполезным рудиментом. Но ученые приходят к выводу, что аппендикс – «безопасный дом» для полезных бактерий. Они помогают пищеварению и восстанавливают кишечную флору, гибнущую после перенесенных заболеваний.
Загрузить еще